اسنان اونلاين | عاصم الطيار

اختار و احجز عند افضل و اقرب دكتور اسنان فى دقائق

متاح الان
دكتور
عاصم الطيار

Sorriso dental clinic

اخصائي طب الفم والأسنان

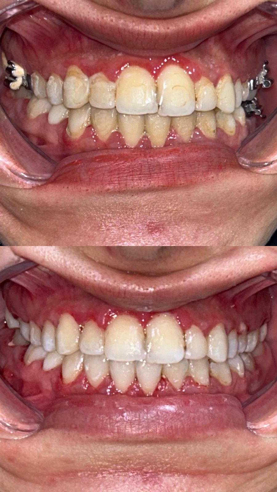
تقويم الأسنان
فينير الأسنان
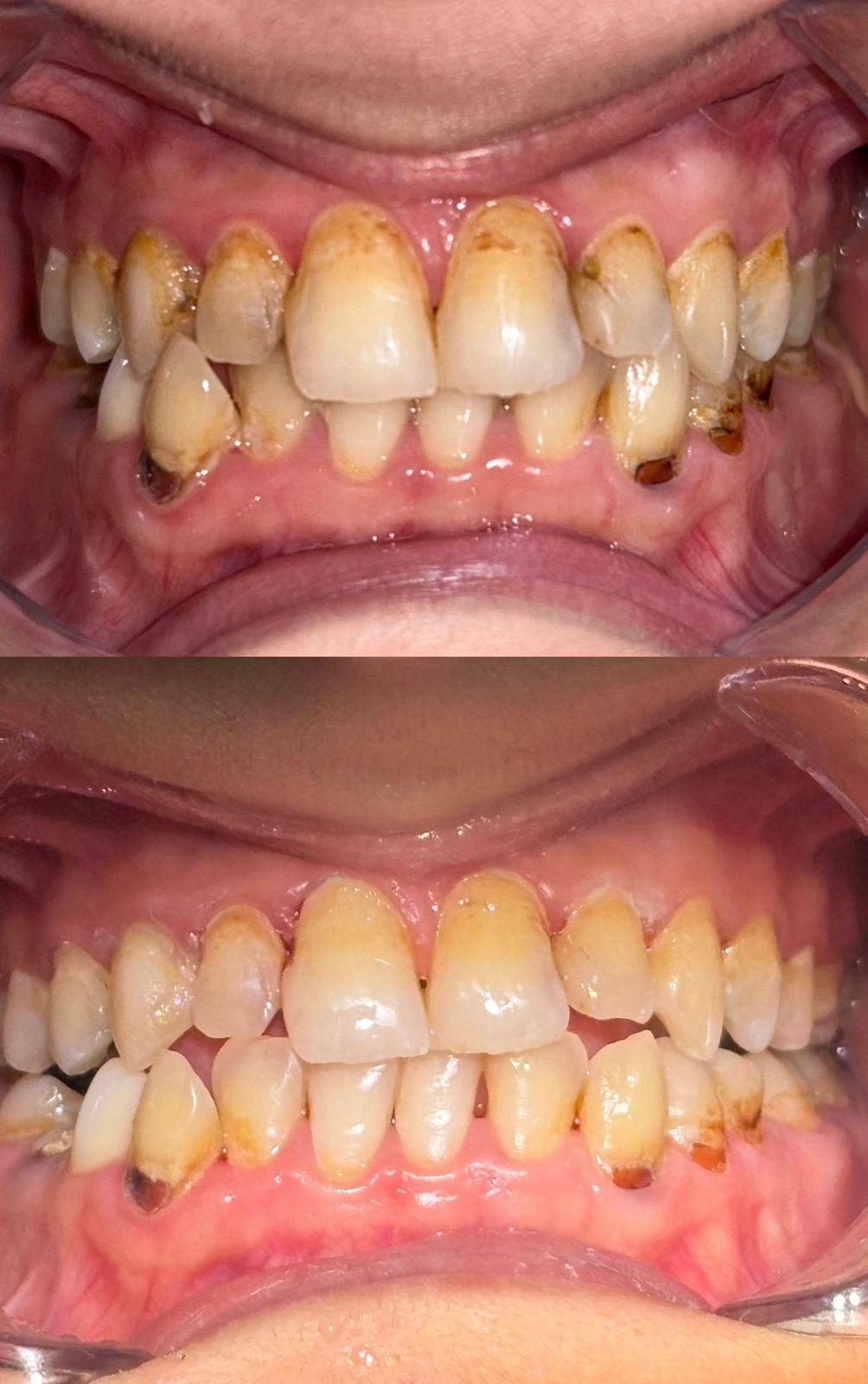
تركيبات الأسنان الثابتة
علاج جذور الأسنان
حشو الأسنان
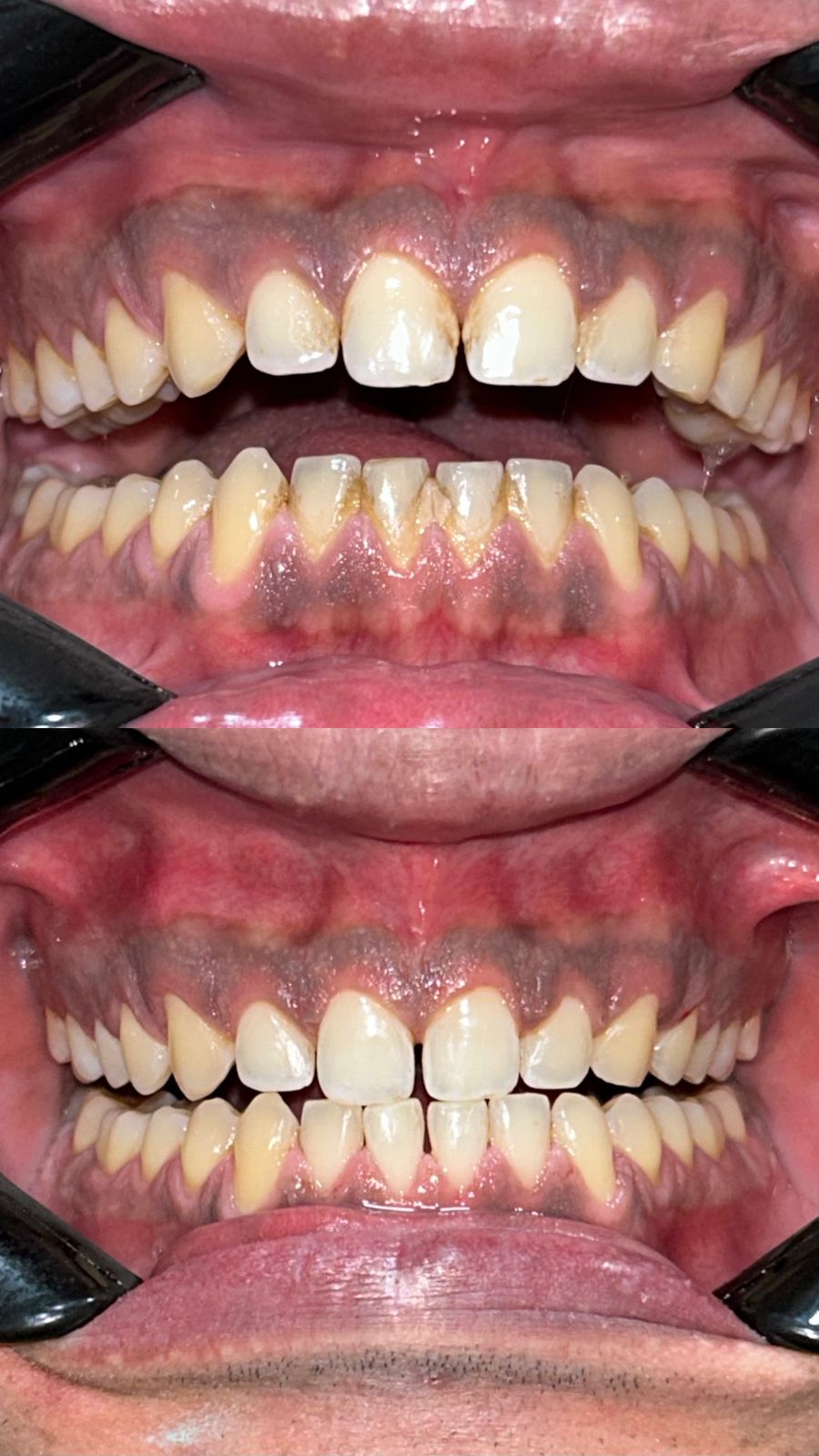
تبييض الأسنان
تنظيف الجير وتلميع الأسنان
أسنان الأطفال
تركيبات متحركة
جراحة الأسنان
القاهرة - مدينة نصر : مدينة نصر اول عباس العقاد ميدان الساعة
الكشف : 300 جنيه

معلومات عن الدكتور

اسم العيادة

Sorriso dental clinic

العنوان

مدينة نصر اول عباس العقاد ميدان الساعة

المدينة

القاهرة

المنطقة

مدينة نصر

فيديو

صور العيادة

Loading...
جارى التنفيذ ...
09 الخميس
06:00 م
07:00 م
08:00 م
09:00 م
10 الجمعة
غير متاح
11 السبت
03:00 م
04:00 م
05:00 م
06:00 م
07:00 م
08:00 م
09:00 م
12 الاحد
03:00 م
04:00 م
05:00 م
06:00 م
07:00 م
08:00 م
09:00 م
متاح
محدد
محجوز

موعد الحجز

يوجد كابون خصم ؟
كوبون